Canberra's Specialist Orthodontist

Your trusted
orthodontist
in Canberra

True orthodontic excellence goes beyond straight teeth. Dr. Yul Kim focuses on facial harmony and balance — creating results that look natural, function beautifully, and complement your unique face.

🎓
Specialist
Orthodontist
📍
2 Canberra
Locations
5-Star
Google Rated
🚫
No Referral
Needed
Happy patients at Yul Kim Orthodontics
★★★★★
Loved by Canberra families
100% 5-star Google reviews
Complimentary
Consultation*
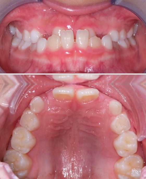
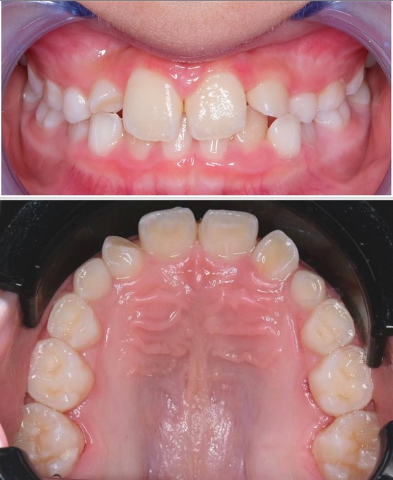
Actual Patient
Our Treatments

The right treatment
for every smile

Clear aligners
Most Popular

Clear Aligners —
the invisible choice

As a certified Invisalign® and Spark provider, Dr. Yul delivers beautifully straight smiles using virtually invisible removable trays. No brackets, no wires — and no one will know you're in treatment.

  • Nearly invisible while wearing
  • Removable for eating and cleaning
  • Comfortable — no sharp wires
  • Ideal for working adults and teens
Discover Clear Aligners →
Metal braces
Most Affordable

Metal Braces —
reliable and proven

The gold standard of orthodontics. Metal braces deliver precise, reliable results for cases of any complexity — combining quality orthodontics with personalised care for the whole family.

  • Most affordable treatment option
  • Highly effective for complex cases
  • Suitable for children, teens and adults
  • Durable and low maintenance
Discover Metal Braces →
Ceramic braces
Discreet Option

Ceramic Braces —
subtle yet effective

Tooth-coloured ceramic brackets blend naturally with your smile. All the clinical precision of metal braces — far less noticeable. Popular with appearance-conscious teens and adults.

  • Tooth-coloured, low visibility
  • Same precision as metal braces
  • Stain-resistant modern materials
  • Great for teens and adults
Discover Ceramic Braces →
Early intervention for children
Ages 7–12 · Complimentary Consultation

Early Intervention —
protect your child's smile

Orthodontics Australia recommends children aged 7–10 see a specialist. Early treatment guides healthy jaw growth and creates space for incoming teeth — preventing bigger problems later and saving you time and money.

  • Prevents more complex treatment later
  • Guides healthy jaw development
  • Free consultation for under 18s
  • No referral needed to get started
Discover Early Intervention →
Happy family
Interest-free plans from
6 months
Up to 36 months available
Flexible Payment Options

Orthodontics that fits
your family's budget

We believe every family in Canberra deserves access to quality orthodontic care. That's why we offer transparent pricing and flexible interest-free payment plans to make specialist care accessible for every family.

💰
Pay in Full Discount
Save when you pay upfront
📅
Interest-Free Plans
6, 12, 24 or 36 months
🎁
Complimentary Consult
For patients under 18
👨‍👩‍👧
Family Care
Treating whole families
View Pricing & Plans →
Why Choose Us

Why choose Yul Kim
Orthodontics in Canberra?

Discover why Canberra families trust Dr. Yul Kim for specialist orthodontic care. From personalised treatment to the latest technology, we're here to create confident smiles.

🎓

Specialist expertise

Dr. Yul completed 3 additional years of specialist university training beyond his dental degree.

Invisalign® & Spark certified

Certified provider of the world's leading clear aligner systems for teens and adults.

🌱

Early intervention

Committed to early diagnosis for children aged 7–10 — timing is vital for the best results.

💳

Affordable treatment

Flexible interest-free plans over 6, 12, 24 or 36 months — no hidden fees.

📍

Two Canberra locations

Dickson and Tuggeranong — conveniently located for families across Canberra.

🚫

No referral needed

Book directly — no GP or dentist referral required, for any age.

🫦

Facial harmony & balance

Orthodontics isn't just about straight teeth — Dr. Yul considers how your smile fits your face, profile, and overall facial aesthetics.

👨‍👩‍👧

Whole family welcome

From 7-year-olds to adults — we love helping whole families achieve beautiful smiles.

No waiting lists

We can often begin your assessment at your very first appointment.

Dr. Yul Kim — Specialist Orthodontist
Dr. Yul Kim
Specialist Orthodontist

Meet Your Specialist

The highest level of
care from Dr. Yul Kim

Dr. Yul Kim is a fully qualified specialist orthodontist with an additional three years of dedicated university training. His philosophy goes beyond straight teeth — he treats the whole face, considering lip support, jaw balance, and facial profile to create results that are as harmonious as they are beautiful. Warm, approachable, and genuinely caring, he has built a reputation across Canberra for delivering exceptional results that last a lifetime.

🎓
Specialist Orthodontic Degree
3 years full-time specialist training
🏅
ASO Member
Australasian Orthodontic Board registered
Invisalign® & Spark Certified
Leading clear aligner technologies
❤️
5-Star Patient Reviews
Consistently loved by Canberra families
Meet Dr. Yul Kim →
Book a Consultation

Start your smile
journey today

Achieve the smile you've always wanted. Book a consultation at either of our two Canberra locations — free for patients under 18, no referral needed.

Happy patients